Shiney Smiles Speak for Themselves
Every smile tells a story, and here are a few amazing before and after pictures of patients treated by Dr. Sheinis and the Shiney Smiles Orthodontics team.
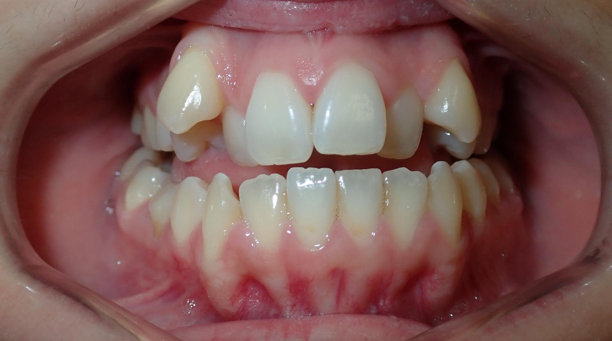
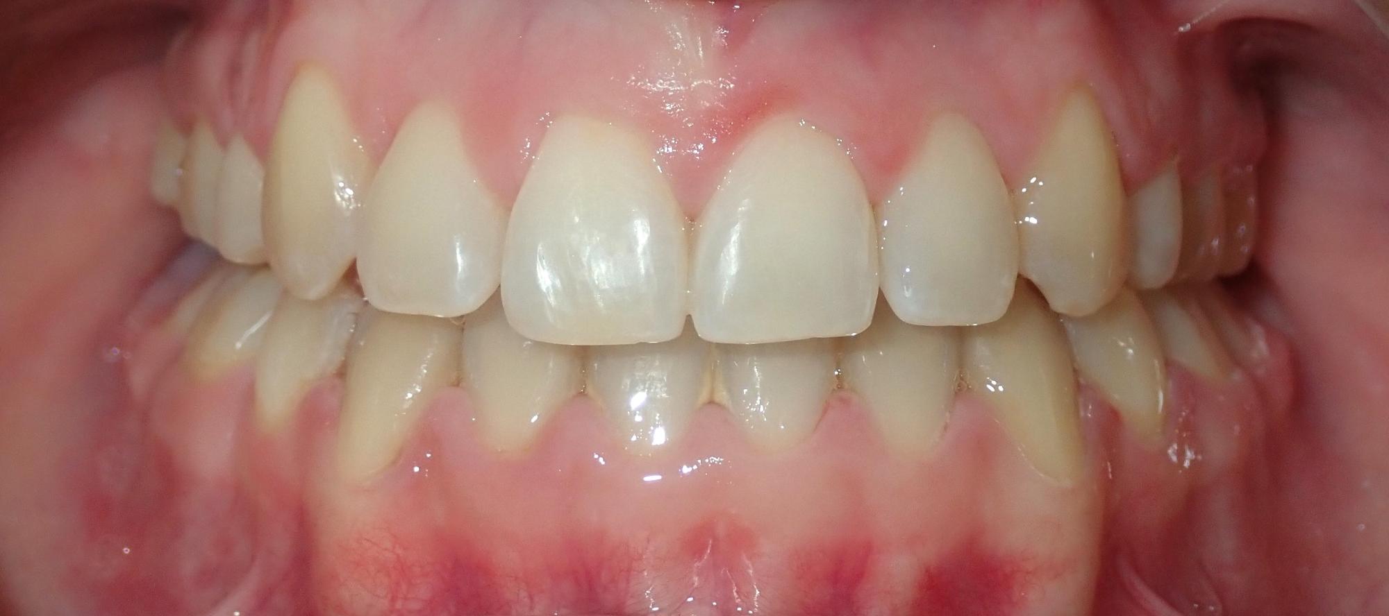
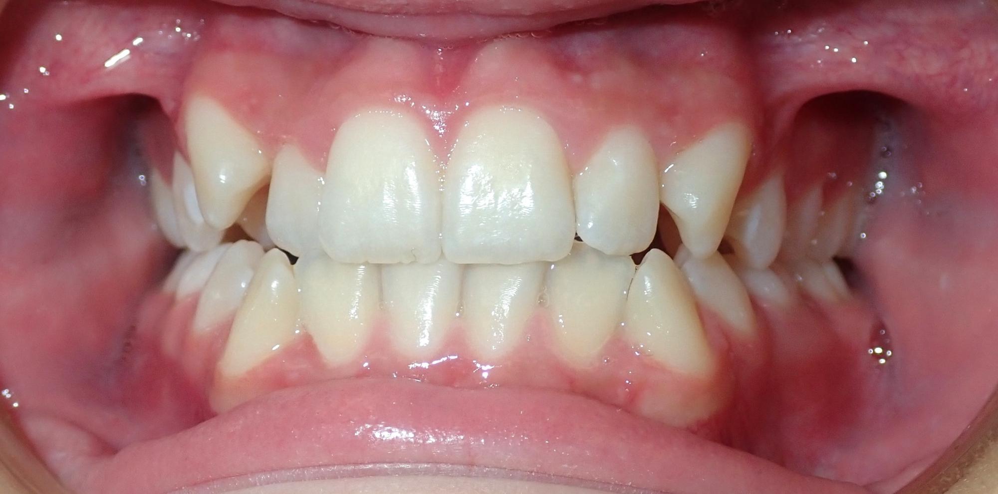
Patient 1


Before
Alex came in with severe crowding, and never wanted to smile because of it.
After
Alex was treated with extractions of 4 premolars and ceramic (clear) braces. She hasn't stopped smiling since we removed her braces.
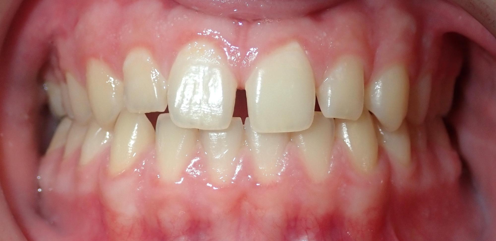
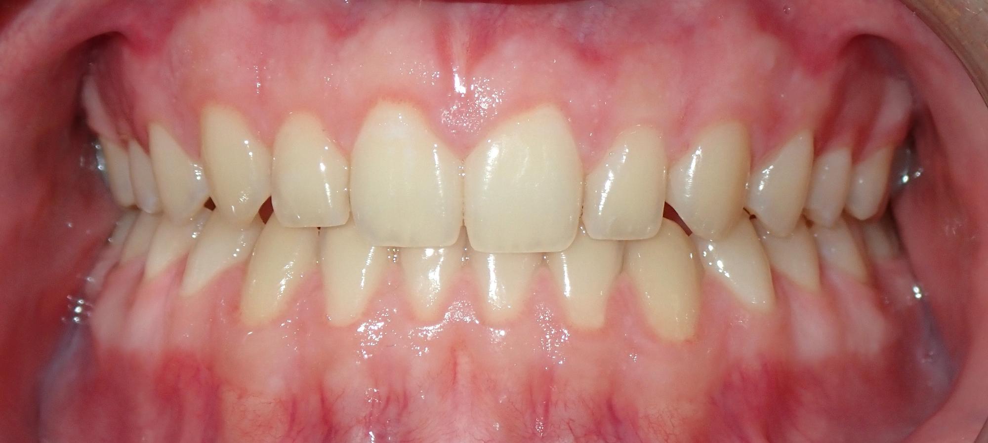
Patient 2


Before
Zain presented with generalized spacing, especially in the front.
After
Using InBrace, behind your teeth braces, we were able to close all spaces in a short amount of time.
Patient 3


Before
This case presented with upper and lower crowding and a bite that did not fit together well.
After
Nora was treated with traditional braces and elastics to create a beautiful AND functional smile.
Patient 4


Before
When we first saw this child, his dentist and mother were concerned about his crossbite of the front teeth.
After
After 12 months of phase 1 treatment with a palate expander and partial braces, the crossbite is corrected and we can monitor his growth!
Patient 5


Before
Chris came to Shiney Smiles unhappy with his crooked front teeth.
After
Chris chose traditional braces and, after 18 months of treatment, loves his new, healthier smile!
Patient 6


Before
This patient said “I don’t like my overbite and my fangs stick out too much!”
After
After 20 months of clear aligner treatment with Dr. Sheinis, they love their new smile!
Patient 7


Before
Franci was unhappy with the space between her upper teeth and wanted a better overall smile.
After
After 18 months with clear aligners, her gaps are gone and her smile is better than ever!
Patient 8


Before
This patient was missing both upper lateral incisors and had generalized upper spacing.
After
Using traditional metal braces, the canines were substituted for the laterals and after future esthetic bonding is completed, they will not need any other further dental work to address the missing incisor.
Patient 9


Before
This patient had previous orthodontic treatment with braces as a child and had generalized white spots on the upper anterior teeth.
After
We chose to treat with clear aligners to align the teeth and prevent any further decalcification. This is after 16 months of clear aligner treatment.
Patient 10


Before
When this 8 year old patient came to our office, her mother told us, “She needs help stopping her thumb-sucking habit.
After
After 12 months with a habit appliance and partial braces, the habit has stopped and she has a beautiful new smile!
Patient 11


Before
This patient came in complaining about his front teeth not contacting when he bites.
After
This overbite was corrected with 24 months of clear aligners and his favorite part? He can finally take big bites out of food!
Patient 12


Before
This patient was unhappy with the large gap between their front teeth.
After
After treatment with clear aligners for approximately 14 months, a fixed retainer was placed behind the upper top teeth to hold the space closed. She feels like a completely new woman!